WebTBS:
Bildübersicht
Startseite
-
Kapitelübersicht
Einleitung
|
Häufigkeit
|
Hauptsymptome
|
Sekretionsstörung
|
Lebenserwartung
|
Altbekanntes Krankheitsbild
|
Gen-Lokalisation
|
|
Genetik und Pathogenese
|
Vererbung
|
Häufige Stoffwechselstörung
|
Chromosom 7
|
CF-Protein
|
CFTR-Protein
|
Reduzierte Chloridpermeabilität
|
Respiratorisches Epithel
|
Schweissdrüse
|
Betroffene Organe
|
|
|
Respirationstrakt
|
Hauptproblem: Respirationstrakt
|
Hypertrophie der submukösen Drüsen
|
Chronische Bronchitis
|
Pneumonie
|
Veränderte Luftwege
|
Schleimretention
|
Chronische Infektion
|
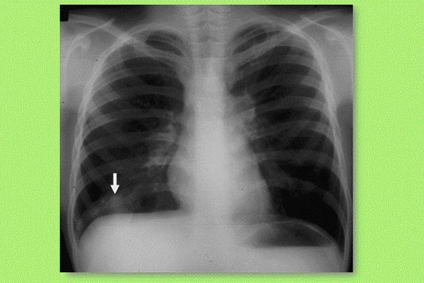
Röntgenbild
|
Fassförm. Thorax
|
Clubbing
|
Immunologische Barriere
|
Erreger
|
Infektionen Respirationstrakt
|
Toxine
|
Pseudomonas aeruginosa
|
Bakterielle Reaktionen
|
Mukoide Transformation
|
Wirtsreaktionen
|
Gegenseitige Potenzierung
|
Virale Infektionen
|
Grippeimpfung
|
Pneumothorax
|
Hämoptoe
|
Aspergillus
|
Nasenpolypen
|
Chronische Sinusitis
|
Husten
|
Therapien
|
Tägliche Inhalation
|
Expektoration v. Schleim
|
Physiotherapie-Techniken
|
Abklopf- und Lagerungsdrainage
|
Therapie
|
Flutter
|
Methode PEP
|
autogene Drainage
|
Sport regelmässig
|
Antibiotika
|
Pseudomonas
|
keine Hustenmedikamente
|
Cor pulmonale
|
Transplantation
|
|
Gastrointestinaltrakt
|
Frühsymptome
|
Pathologie
|
Pathologie II
|
Maldigestion
|
Fettstühle
|
Malnutrition
|
Bicarbonatsekretion
|
Pankreaselastase-1
|
Pankreasenzyme
|
Dosierung Enzympräparate
|
Diabetes mellitus
|
Mekoniumileus
|
Mekoniumileus
|
DD bei Dystrophie
|
DIOS
|
Symptoem des DIOS
|
chronisches DIOS
|
Therapie des DIOS
|
Darminvagination
|
Rektalprolaps
|
fokale biläre Fibrose
|
Zwerchfellfurchen
|
Pericholangitis
|
Leberzirrhose
|
Ösophagusvarizen
|
Gallensäureverlust
|
Gallensteine
|
Appetitlosigkeit
|
Ernährung
|
Supplementierung Vit. A, D, E
|
Alkalose
|
Elektrolytstörung
|
Natriumchloridlösung
|
|
|
Reproduktionstrakt
|
Sterilität
|
Fertilität
|
Schwangerschaft
|
Diagnose
|
Beim Neugeborenen
|
Beim Säugling
|
Beim Vorschul- und Schulkind
|
Beim Adoleszenten und Erwachsenen
|
Schweisstest
|
Durchführung Schweisstest
|
Gesamtosmolalität
|
Chorionzotten-Biopsie
|
Zukunft
|
DNAse
|
Forschungsrichtungen
|
DNA-Transfer
|
Erfolge
|
Kurze Repetition
|
Hauptsymptome
|
Lösung
|
Zuordnung
|
Lösung
|
Diagnose CF
|
Lösung
|