HNO Teil 2

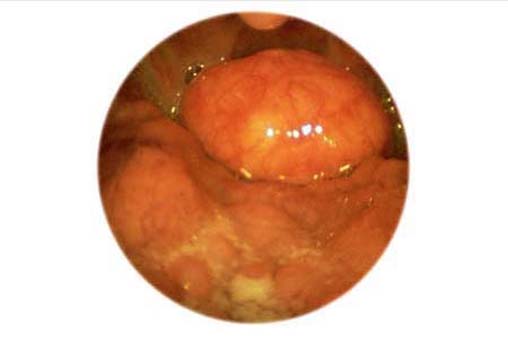
Zungengrundstruma . ........ Zum Kapitel