HNO Teil 2

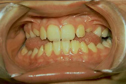
Deformation des Gebisses bei Makroglossie .... Zum Kapitel